Free 3D CT Scan & Consultation
At Smile Solutions, we believe every patient deserves clear, accurate information before starting treatment. That's why we offer a FREE 3D CT scan as part of your dental implant consultation. A CT scan provides a detailed, 360° view of your jawbone, nerves, and sinus structures.
This advanced imaging allows our doctor to:
There's no cost and no obligation—just precise information to help you make the best decision about your smile.

Dr. Gazelle Crasto
Dr. Gazelle Crasto delivers implant dentistry at the highest standard by combining clinical expertise with elite, globally trusted technology. She exclusively uses Geistlich bone graft materials, the gold standard in regenerative dentistry, and partners with Straumann and Thommen, two of the most respected names in implant innovation worldwide. This approach ensures precision, strength, and long-lasting results—because patients deserve nothing less than world-class care.
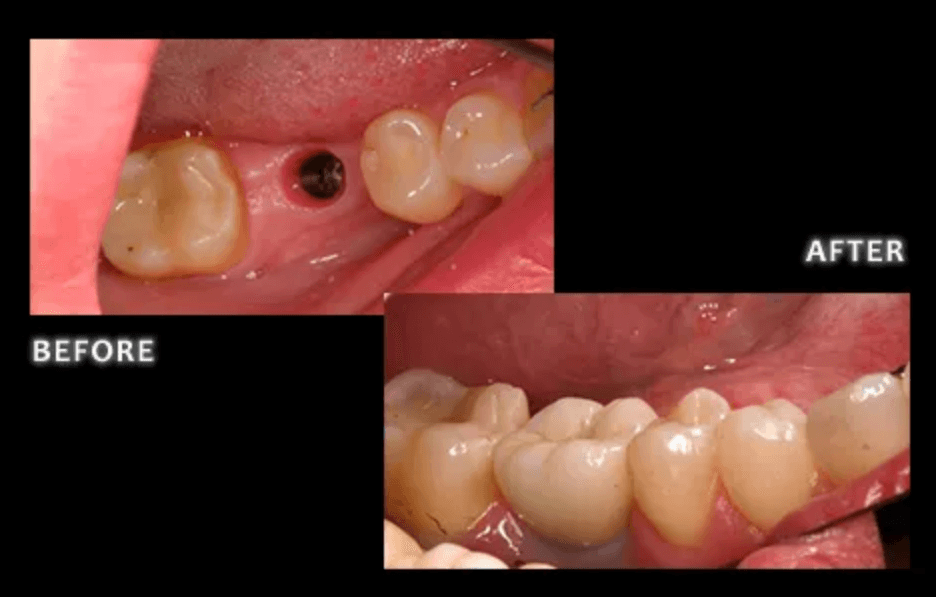
Real implant transformations



